SchädelHirnTrauma und Naturheilkunde » naturheilzentrum bottrop

Leitlinie Schädel-Hirn-Trauma im Erwachsenenalter . 2. sollen erfasst und dokumentiert werden. E6 B . Kurzfristige Kontrollen des neurologischen Befundes zur Erkennung einer Verschlechterung sollten durchgeführt werden. E7 B . Der neurologische Befund sollte standardisiert erhoben werden. International hat sich hierfür die GCS eingebürgert.
Menschen mit SchädelHirnTrauma pflegen Login Tafakari

Je nach Schwere der Verletzungen verläuft das Schädel-Hirntrauma unterschiedlich: Ein leichtes Schädel-Hirntrauma (Gehirnerschütterung) ohne Bewusstlosigkeit oder neurologische Symptome heilt in den allermeisten Fällen folgenlos aus. Trotzdem können über einige Wochen Symptome wie Kopfschmerzen, Konzentrationsstörungen oder übermäßige Ermüdbarkeit auftreten.
SchädelHirnTrauma Pflege von SHTPatienten ZBI Gruppe

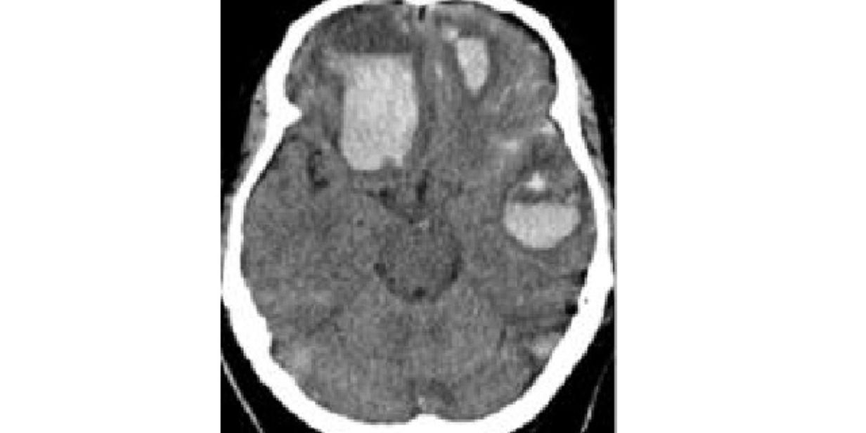
Das Schädel-Hirn-Trauma (SHT) ist eine physikalische Schädigung von Hirngewebe, die die Hirnfunktion vorübergehend oder dauerhaft einschränkt. Die Diagnose wird klinisch vermutet und durch bildgebende Verfahren, hauptsächlich Computertomographie (CT), bestätigt. Die erste Behandlung besteht aus einer zuverlässigen Sicherung der Atemwege.
SchädelHirnTrauma um Sohn inspiriert Paar zum Bau eines Pflegedorfes Archiv Rhein

Das Schädel-Hirn-Trauma ist eine Verletzung des Schädels unter Beteiligung des Gehirns. Ursache ist eine Gewalteinwirkung auf den Schädel von außen. Der Grad der Hirnverletzung reicht von einer Gehirnerschütterung über eine Gehirnprellung zu einer Gehirnquetschung. Von der Schwere des Schädel-Hirn-Traumas hängt auch die Behandlung ab.
(PDF) Schweres SchädelHirnTrauma

1. Eine Computertomografie (CT) des Schädels soll bei erwachsenen Patienten mit Schädel-Hirn-Trauma durchgeführt werden, wenn mindestens einer der folgenden Befunde (absolute Indikationen.
SchädelHirnTrauma Welche Schweregrade gibt es Focus Arztsuche

Ein Hinweis für ein schweres Schädel-Hirn-Trauma ist eine länger anhaltende Bewusstlosigkeit nach dem Ereignis. Je länger die Bewusstlosigkeit dauert, desto schwerer ist in der Regel die Hirnverletzung. Diagnose des Schädel-Hirn-Traumas. Um den Schweregrad der Hirnschädigung festzustellen, werden verschiedene Abklärungen durchgeführt.
Akutes SchädelHirnTrauma mit Bewusstlosigkeit
Beim Schädel-Hirn-Trauma sind Rehabilitationsmaßnahmen bereits in der Frühphase der Intensivversorgung notwendig. Wichtig ist auch, den Patienten in einen regelmäßigen Tagesablauf mit Waschen, Anziehen und Essen einzubeziehen. Eine aktive Mithilfe des Patienten sollte vom Pflegepersonal gefördert werden. Nach einem schweren Schädel-Hirn.
SchädelHirnTrauma LowLevelLichttherapie erzielt...

Leitlinie Schädelhirntrauma im Erwachsenenalter. 55. The clinical outcomes were death from any cause, dependency, and the need for neurosurgical intervention. Clinical outcomes were recorded at hospital discharge, at 28 days after randomisation, or death, whichever occurred first.
SchädelHirnTrauma Apotheken Umschau

Eine leichte Form des Schädel-Hirn-Traumas ist die Gehirnerschütterung, bei der meist nach einer kurzen Bewusstlosigkeit nur vorrübergehende Übelkeit oder Kopfschmerzen entstehen. Bei einem mittelschweren oder schweren Schädel-Hirn-Trauma ist jedoch das Gehirn in weitaus größerem Maße betroffen. Es handelt sich um eine ernste und.
SchädelHirnTrauma Symptome und Behandlung KSW

Postkommotionelles Syndrom. Nach einem leichten Schädel-Hirn-Trauma ( Commotio cerebri), im Volksmund auch Gehirnerschütterung genannt, kann es unter anderem zu diffusem Kopfschmerz, Schwindel, Übelkeit, rascher Ermüdbarkeit und Reizbarkeit, Apathie sowie zu vermehrtem Schwitzen kommen. Diese Allgemeinbeschwerden treten häufig auf, bilden.
SchädelHirnTrauma Asklepios Klinik Nord Heidberg

Operative Behandlung. Schädel-Hirn-Trauma: Therapie bei schwerem oder mittelschwerem Trauma. Patienten mit einem schweren Schädel-Hirn-Trauma müssen auf der Intensivstation überwacht und künstlich beatmet werden. Sauerstoffmangel und Blutdruckabfälle sollen damit vermieden werden. Das weitere Vorgehen richtet sich nach den Befunden der.
SchädelHirnTrauma Häufig nach Unfällen Medisiegel.de

Diagnose von Schädel-Hirn-Traumen mithilfe der Glasgow-Koma-Skala. Symptome unter Berücksichtigung des jeweiligen Schweregrades eines Schädel-Hirn-Traumas. Unterteilung in 'geschlossene' und 'offene' Schädel-Hirn-Traumen. Abklärung, Behandlung und Prognose. Reha nach der Behandlung von Hirnverletzungen.
Erste Hilfe bei einem SchädelHirnTrauma Symptome und Maßnahmen

Eine verlässliche Prognose bei schwerer Schädel-Hirn-Verletzung hilft, die Fälle zu erkennen, die den ungünstigsten Verlauf nehmen werden. Hier lässt sich die unnötige Anwendung.
SchädelHirnTrauma im Sport häufig MedMix

Das Schädel-Hirn-Trauma gilt als häufigste Ursache für Behinderung und Tod unter jungen Erwachsenen. Während die Primärläsion nur durch eine Primärprävention vermieden werden kann, soll die Therapie des SHT die Entwicklung der sekundären Schädigungen aufhalten. Die Einteilung der Schwere des SHT erfolgt in drei Grade anhand des.
Was ist ein SchädelHirnTrauma? Wie klassifiziert man ein SchädelHirnTrauma?

Von den Patienten mit schwerem Schädel-Hirn-Trauma versterben 30-40%, 2-14% verbleiben in einem posttraumatischen vegetativen Zustand, also im Koma. 10-30 % bleiben schwer behindert, 17-20% mittelgradig behindert und 7-27 % erholen sich gut (1). Die Prognose von Patienten mit schwerem Schädel-Hirn-Trauma hat sich in den letzten 20 Jahren.
SchädelHirnTrauma hirnverletzt leben

Welche Symptome durch ein Schädel-Hirn-Trauma auftreten, hängt auch von der Art der Verletzung ab. Folgende Formen von Kopf- und Hirnverletzungen sind bekannt: Schädelprellung: Kopfschmerzen oder Schwindel sind möglich, Bewusstseinsstörungen oder neurologische Symptome treten nicht auf.